当院では保険診療・保険適用外(自由診療)共に行っております。
自由診療の費用は下記の料金表をご確認ください。
自由診療の費用は下記の料金表をご確認ください。
◎当院では自由診療の補綴物に対する保証制度を導入しております。
◎歯の状態によって治療方法、費用が変わることもあります。
◎デンタルローンの取り扱いもしておりますので、ご相談ください。
矯正歯科・インプラント治療の料金表は専門サイトをご確認ください。
インレー・クラウン
料金表
INLAY CROWN
保証期間:3年
当院では補綴物に関して3年間の保証期間を設けております。但し、当院で定期健診を受けていただいている方に限らせていただきます。定期健診に応じていただけない方は歯ぐきや骨の状態が変化することがありますので対象外となります。
種類
イメージ
料金
- セレッククラウン
- CAD/CAMで作成するセラミッククラウンです。

- 69,800円+消費税
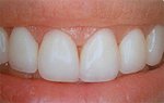
- オールセラミッククラウン
- 天然の歯と比べても遜色のない美しさで作成することができる審美性の高いセラミックです。

- 100,000円+消費税
- ジルコニアセラミッククラウン
- 審美性と強度のどちらも兼ね備えた耐久性の高いセラミックです。

- 140,000円+消費税
- ゴールドクラウン

- 小臼歯198,000円+消費税
- 大臼歯248,000円+消費税
- ラミネートべニア(セラミック)

- 98,000円+消費税
- ゴールドインレー

- 小臼歯115,000円+消費税
- 大臼歯130,000円+消費税
- セラミックインレー

- 48,000円+消費税
※消費税別途
保証期間:2年
当院ではダイレクトボンディングに関して2年間の保証期間を設けております。但し、当院で定期健診を受けていただいている方に限らせていただきます。定期健診に応じていただけない方は歯ぐきや骨の状態が変化することがありますので対象外となります。
種類
イメージ
料金
- ダイレクトボンディング
- 歯の隙間などに樹脂をくっつけてすき間を埋めます。

- 前歯50,000円+消費税
- 臼歯80,000円+消費税
※消費税別途
入れ歯(義歯)治療
料金表
DENTURE
保証期間:3年
当院では入れ歯に関して3年間の保証期間を設けております。但し、定期健診を受診されている方に限らせていただきます。定期健診に応じていただけない方は歯ぐきや骨の状態が変化することがありますので対象外となります。
種類
イメージ
料金
- スマートデンチャー

- 210,000円+消費税
- スマートデンチャー
- ※金属床付き

- 270,000円+消費税
- 金属床義歯
- コバルトクロム

- 270,000円+消費税
- チタン床義歯

- 320,000円+消費税
- 磁性アタッチメント
- 義歯用

- 1組50,000円+消費税
- ※入れ歯費用は別途
例)入れ歯27万円(金属床義歯)+磁石2組10万円(50,000円×2本)=合計370,000円+消費税
- ロケーター
- ボタン式のロケーターという器具で入れ歯を固定
※ロケーターキャップは適宜有償交換

- 1組85,000円+消費税
- ※入れ歯・インプラント費用は別途
例)インプラント50万円(250,000円×2本)+ロケーター17万円(85,000円×2本)+今お使いの入れ歯(費用¥0)=合計670,000円+消費税
※消費税別途
お支払いについて
PAYMENT
保険診療
保険診療の支払いは現金のみとなります。

- 現金
自費診療
自費診療の治療費に関して現金、クレジットカード、デンタルローンでのお支払いが可能です。
詳しくはご相談ください。
詳しくはご相談ください。

- 現金

- クレジット
カード

- デンタル
ローン






